DOB: 7/21/01
Rough-Faced
Fawn Dog
DN09035201
PS242

16" (42 cm)
20 # (9 kg)
Scissors Bite
Tail Docked
Ears Cropped

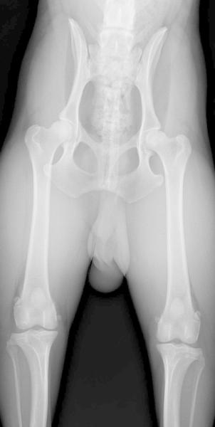
OFA Patellas
PS-PA33/71M/P-PI
OFA Hips
Good  
#PS-30G25M-PI
CERF clear

DNA Tested
AKC #
CHIC DNA
PS-
DNA - Un. of MO
Test de
Comportement
(not yet)
Youyou de la Vallee du Mouton
"Yancy"
(Mascaras de la Griffe Pyreneene x CH. Iquette de la Vallee du Mouton)
Youyou de la Vallée du Mouton (Au)   

Yancy was bred by Christian and Monika Janes in
Austria, and embodies top contemporary European
bloodlines. His pups have distinguished themselves in
the showring and in performance events, especially
agility.

Yancy was RWD at the 2002 PSCA National Specialty
under breeder-judge Dr Jacques Denys of Belgium.
Mascaras de la Griffe Pyreneenne (Fr)
Lheris des Petuzous (Fr)
Uzer
Heidi des Petuzous
Lara (Fr)
Bellocq
Gloriette
Iquette de la Vallee' du Mouton (Au)
Nananere de la Fontegude (Fr)  
LeVifargent de la Fontegude
Joda de la Fontegude
Urroye de la Vallee' du Mouton (Au)
Duc de Champiver
Fauvette de l’Ourdissetou
Bred by Christian & Monika Janes
Owned by Patricia Princehouse
www.pyrs.net
Our Pyr Sheps | Pyr Shep Litters | Breed Information | Breed History
HOME | Pyrs | Pyr Sheps | About Us | Links
c. 2008 La Brise
Sheep Pen Fall 2007

Sheep Pen Summer 2007

Sheep Pen Winter 2008